[치경이식수술 후기] 수술 9일차 (하루만에 또 병원?)

#치경이식수술 9일차(원래는 솔기를 뽑는 날까지 데일리 기록하려고 했는데 오늘도 무슨 일이 있어서 기록하기로…!하하하)

내사랑언니가준 #마카롱케이크다나으면목오야딘 #징징커롱

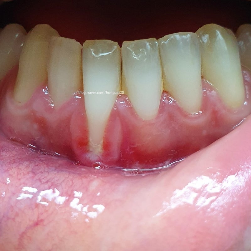
아침에는 #런던베이글뮤지엄 #감자치즈베이글 #브라타치즈 #스프 #우유 #카눌레 #케이크많이먹었지….?ㅋㅋㅋㅋㅋㅋ감자치즈가 너무 매워아, 그리고 양치질 중에 안의 실밥 제거가 제대로 안 된 것을 발견했어.(분명히 어제 다 제거된줄 알았는데..) 그래서 병원에 전화했더니 2시간이 지나서 다시 연락주신…(울음) 1시반까지 내원가능하냐고 물었고, 지금 출발해도 2시간은 걸린다고 말씀드렸더니 3시까지 와도 된다고 하셔서 집에서 멀고 먼 신촌.. 그렇게 갔다왔어요^^휴(교수님 이외의 분이 제거해 주셨다.이식부위의 생착으로 언제쯤 자유롭게 말할 수 있는지 물어봤는데 잘 모르는 것 같았다…구개골 이야기를 하면……TT)오늘도 신촌에 다녀오는 늦은 오후에 너무 피곤해….! 하지만 우리 언니 생일케이크는 사러갈게.너무 배고파서 집에 오자마자 냐무 마지막 #동명크림치즈빵 오늘 나온김에 다시 사올걸..그런데 아까는 너무 피곤해서 생각을 못했어 ㅋㅋㅋㅋㅋㅋㅋㅋㅋㅋㅋㅋㅋㅋㅋ플레인요거트까지 먹고 마무리언니한테 가서 얻은 간식!#옆집 톡톡이야크랑 쿠키 #한입에 고구마언니가 간식 고르라고 해서 #뽀로로치즈케이크언니가 #초콜릿샌드위치비스켓한박스산다고해서 안된다고했어!!오늘 언니랑 밤마시는 주목적 ㅋㅋㅋ 먼 신촌 다녀와서 너무 피곤한 하루!