다리가 구부러지고 벌어지거나 안쪽으로 접히는 것을 종종 엇갈린 다리라고 합니다. 이렇게 구부러진 다리는 보기 좋지는 않지만 가장 중요한 것은 각종 합병증을 유발하고 나중에는 척추의 긴장을 유발하여 척추측만증이나 추간판 탈출증, 퇴행성관절염 등의 척추질환을 유발할 수 있기 때문에 주의하는 것입니다. 따라서 건강을 위해서는 다리나 휜다리에 대한 교정치료는 여전히 필요합니다.
![]()
미사툰병원 / 근위경골 절골술
![]()
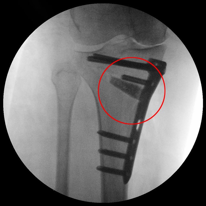
후만증과 다리 휘어진 다리를 교정하는 대표적인 방법은 근위 경골 절골술로, 무릎 아래 부분을 절개하여 뼈의 위치를 조정한 후 금속판과 나사로 고정하는 방법입니다. 무릎 관절이 구부러지는 방향의 아래쪽 뼈를 잘라내고 틈을 기구로 열어줍니다. 보강한 다음 자신의 뼈 또는 기타 충전재로 채웁니다. 무릎을 곧게 펴고 무릎 통증을 완화하면서 관절 각도를 정상 범위로 복원합니다. 잘못된 비틀기 자세로 인해 다리가 휘는 경우가 많은데 증상이 심한 경우에는 정확한 검진을 받아 전문의를 통한 치료계획을 세워 질병으로 이어지지 않도록 하는 것이 좋습니다.

※ 본 게시물은 의료광고법 제56조 제1항에 따라 작성된 미사텐톤병원의 의료광고입니다. 절골 관련 수술 및 절차는 사람마다 다르며 치료 방법, 수술 후 염증 및 감염이 다릅니다. 수술은 붓기 등의 부작용과 출혈 등의 합병증이 있을 수 있으므로 수술 및 수술 전 담당 의료진과 충분한 상의가 필요한 부위를 알려드립니다.
![]()
경기도 하남시 매사강변동로 73 매사강변노블 매사간돈병원 매사강톤병원 7~8층

![]()